Content

The NVDC News banner shows a photo of the building. Beneath the photo on a red bar is Fall 2025 and This issue spotlights the molecular diagnostics section.

 

Special Holiday Hours

We will be closed or have shortened hours to observe the following holidays.*

November 27 – Closed for Thanksgiving
November 28 – Closed for Friday after Thanksgiving
December 24 – Close at noon for Christmas Eve
December 25 – Closed for Christmas Day
December 26 – Closed as part of University-wide closedown
January 1 – Closed for New Year's Day

*Information may change. Please check the NVDC website for updates.

Molecular Diagnostics Section

Driving Innovation in Pathogen Detection and Genomic Surveillance

In today’s fast-moving world of veterinary diagnostics, the Molecular Diagnostics Section at the Nebraska Veterinary Diagnostic Center (NVDC) stands at the forefront of disease detection and surveillance. Our dedicated team of molecular scientists combines expertise with cutting-edge technology to deliver rapid, precise, accurate, and actionable results—protecting animal health, safeguarding public health, and supporting Nebraska’s agricultural economy.

What We Do

The Molecular Diagnostics Section specializes in detecting, identifying, and characterizing pathogens at the genetic level. This work is vital for:

  • Rapid disease results to support diagnosis, guide treatment decisions, and assist in testing for regulatory diseases.
  • Outbreak tracking and surveillance for endemic and foreign animal threats such as African Swine Fever (ASF), Classical Swine Fever (CSF), and Foot and Mouth Disease (FMD).
  • Pathogen typing and characterization, including rotaviruses and BVD typing and bacterial toxinotyping to support disease mitigation strategies.
  • Next-generation sequencing (NGS) for identifying unknown pathogens and monitoring pathogen evolution and diversity.
  • Advanced applications of digital PCR, enabling ultra-sensitive detection in low target samples (for research).

FY 2024–25 Testing Highlights

This year, the molecular diagnostic section processed 11,418 PCR tests, underscoring its role as a cornerstone of Nebraska’s animal health infrastructure. Highlights include:

  • 4,500+ tests for reproductive and enteric pathogens, including Trichomoniasis and Johne’s disease.
  • 1,300 tests for Bovine Viral Diarrhea (BVD) and 800+ test panels for Bovine Respiratory Disease (BRD).
  • 1,820 Influenza A tests, supporting Nebraska’s poultry and dairy industries and wild bird surveillance.

Expanded multiplex PCR testing for vector-borne diseases such as Anaplasma and Theileria.

Technology That Powers Our Work

Two members of the molecular diagnostic staff use the latest technology to conduct testing.

The strength of this section lies in both expertise and advanced instrumentation, enabling fast, accurate, and high-quality results:

  • Automated Nucleic Acid Extraction and Real-Time PCR Systems. automated nucleic acid extraction and Realtime PCR streamlines PCR testing by reducing manual handling and ensuring consistent, high-quality sample preparation. This leads to faster turnaround times and more reliable results for clients, especially during high-volume testing scenarios.
  • Absolute Q digital PCR (dPCR). Used in research applications, dPCR provides ultra-sensitive absolute quantification of genetic targets, supporting the detection of low level of genetic materials. We have developed an assay to detect low levels of genetic material and to test for Bovine Viral Diarrhea (BVD) in ear notch samples. Read the reference article in the Journal of Microbiological Methods.
  • Next-Generation Sequencing (NGS)—Illumina iSeq100 for high-throughput genomic sequencing and Oxford Nanopore MinION for rapid, portable sequencing of emerging or unknown pathogens. We use the Illumina iSeq100 for whole genome sequencing (WGS) of bacterial pathogens to identify antimicrobial resistance (AMR) genes. This work is conducted in collaboration with the National Animal Health Laboratory Network (NAHLN).

Discoveries That Matter

Three staff members run tests using cutting-edge lab equipment in the molecular diagnostics lab.
  • In 2023, our section identified a raccoon variant rabies virus (RRV) in a cat, the first time this strain has been detected in the western U.S. This finding immediately alerted state officials to a new risk, reinforcing the critical role of our molecular surveillance in protecting both animals and people. (Read the reference articles in the AVMA Journal and the CDC Morbidity and Mortality Weekly Report.)
  • An outbreak of Highly Pathogenic Avian Influenza (HPAI) started in 2023 in Nebraska, and since then our molecular team has been at the forefront of diagnostic testing. We’ve maintained a rapid turnaround time—delivering results within 24 hours of sample receipt at NVDC—to help control and prevent the spread of this serious disease and have expanded to milk testing to support Nebraska’s dairy producers.
  • In response to the SARS-CoV-2 pandemic, our department, with the support of NVDC faculty and staff, conducted over 300,000 Real-Time PCR tests using the SalivaDirect assay from 2020 to 2022. This integration of human diagnostic testing within a veterinary diagnostic laboratory highlights our adaptability and commitment to public health during critical times.

Bovine anaplasmosis becoming more common in Nebraska

First diagnosed in Nebraska in 2011, bovine anaplasmosis has since been confirmed in cattle from over 70% of the 93 counties in Nebraska. A recent UNL Beefwatch article from Nebraska Extension summarizes the mechanism of spread, clinical signs, prevention strategies, diagnosis, and treatment of this relatively unique disease in cattle.

The NVDC offers both PCR (whole blood or spleen) and serology testing for bovine anaplasmosis.

Case report: Pregnancy toxemia

By Dr. Matt Hille

Routine fresh and fixed tissues from a single doe were submitted to the NVDC after several pregnant Boer goats died unexpectedly within a week of kidding. The submission form indicated the does displayed respiratory distress shortly before death in each case. Based on the history and clinical suspicions described on the submission form, the diagnostic workup consisted of histology, aerobic culture of lung, and copper analysis of liver and kidney.

A doe liver that is diffusely pale with a pronounced lobular pattern.
Figure 1. The liver is diffusely pale with a pronounced lobular pattern. Note the rounded margins due to the overall increase in size of the liver secondary to lipid accumulation.

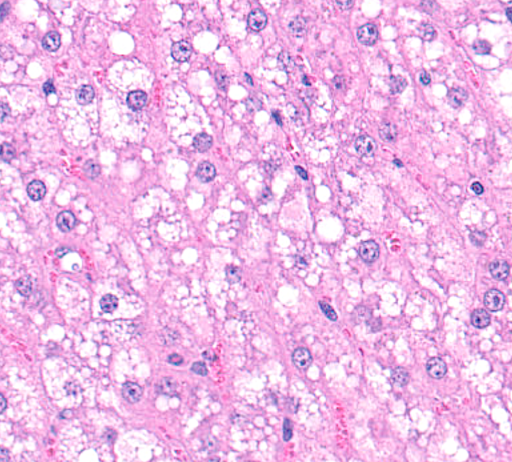
Grossly, the liver was subjectively pale with a pronounced lobular pattern and rounded margins (Figure 1). The most significant histologic finding was severe, diffuse, microvesicular and macrovesicular hepatic lipidosis with multifocal aggregates of neutrophils throughout the liver parenchyma (Figure 2). Other findings included; 1) mild to moderate, multifocal, suppurative inflammation in the heart and kidneys, and 2) aggregates of neutrophils and necrotic debris within the lumina of smaller airways. Corynebacterium pseudotuberculosis was also isolated on lung culture.

Hepatocytes are often swollen and contain numerous, variably sized, distinct vacuoles within their cytoplasm.
Figure 2. Hepatocytes are often swollen and contain numerous, variably sized, distinct vacuoles within their cytoplasm.

The clinical history and hepatocellular accumulation of lipid in this case supported a presumptive diagnosis of pregnancy toxemia. This disease process is well described and is the result of inadequate nutrition in pregnant dams that are in late gestation, especially in those carrying more than one fetus. Ewes and does that are either too thin or overconditioned are at increased risk. The negative energy balance is often the result of a combination of the increased demands of carrying multiple late-term fetuses, inadequate energy content of the feed, and/or the fact that multiple late-term fetuses limit the volume capacity of the rumen which physically limits feed intake. The negative energy balance causes mobilization of fat stores and increased uptake of lipid by hepatocytes. Hepatocellular uptake of lipid is a passive process, but the synthesis and secretion of lipoproteins from hepatocytes is an energy dependent process and is therefore impaired due to the negative energy balance, leading to hepatic lipidosis.

Initially, affected dams will most often present with depression and anorexia that can progress to death in a relatively short period of time. Since the fetuses tend to die in utero prior to death of the dam, it is not uncommon to see evidence of acute septicemia in affected dams postmortem, which is consistent with the acute inflammation in other organs and isolation of Corynebacterium pseudotuberculosis in this case. The most reliable diagnostic test for confirming pregnancy toxemia is evaluation of beta-hydroxybutyrate levels in serum. This method can be used to confirm the diagnosis in clinical animals as well as gauge the risk of individual animals as they approach late gestation, which can help guide management strategies to prevent clinical disease in those deemed more susceptible. Elevated ketones in urine, hypoglycemia, and hypocalcemia are sometimes observed as well, but these tend to be less reliable from a diagnostic standpoint when compared to serum beta-hydroxybutyrate levels.

The Merck Veterinary Manual provides an excellent and more detailed review of pregnancy toxemia in sheep and goats. For clients who are interested in learning more about raising goats as a hobby or a 4-H project, Nebraska Extension has published a NebGuide available online which provides an overview of the basics of goat production in Nebraska.

Employee recognition

NVDC Receives Governor's Award

Governor Jim Pillen presents award to Dustin Loy, director of the NVDC. Scott McVey, director of the School of Veterinary Medicine and Biomedical Sciences stand next to them.

The Nebraska Veterinary Diagnostic Center received the Governor’s Excellence in Agriculture Partnership Award for its scientific excellence and support of Nebraska agricultural stakeholders. Govenor Jim Pillen presented the award at the 2025 Governor’s Summit in Kearney on Aug. 13.

“Family farm security equals food security, which equals national security. Having the ability to detect, research and address animal disease is paramount,” Pillen said. “The Veterinary Diagnostic Center at UNL is critical to that work, and it’s a privilege to highlight the role it plays in keeping our food supply safe.”

Part of the University of Nebraska–Lincoln’s School of Veterinary Medicine and Biomedical Sciences, the diagnostic center provides “a scientific and technical anchor” for the university’s veterinary education and disease diagnostics, as well as research support. 

The center also supports all Nebraska citizens by enhancing the supply of available safe and secure food, and by improving the health of people and animals, said Scott McVey, professor and director of the School of Veterinary Medicine and Biomedical Sciences. 

At 65,000 square feet, the laboratory annually analyzes 300,000 samples to monitor for common animal diseases, as well as high-consequence threats such as avian influenza. The lab’s work also supports high-level veterinary and disease research. 

“The laboratory provides daily support for practicing veterinarians and the many clients it serves,” McVey said.

Read full article.

Employee spotlight

Carrie Burkey holds a lamb. She is standing inside an area with pens of sheep.

The NVDC is happy to welcome Carrie Burkey to the receptionist desk.

Carrie grew up in Lincoln, NE, attending Lincoln public schools (Ruth Pyrtle Elementary and Lincoln East Jr. and Sr. High). She worked at her father’s vet clinic (a small animal practice) from the age of 10 until she graduated from the University of Nebraska.

Growing up, Carrie's family raised, trained and showed quarter horses. Carrie enjoyed showing halter horses, English events, and reining and cow/horse events.

After graduating from college, she enjoyed a 33-year career of teaching in Lincoln Public Schools. Carrie taught special education K-3 at Zeman Elementary, fourth grade and Hill Elementary and sixth grade math and science at Scott Middle School.

Carrie currently lives on her family’s farm in Seward County (west of Milford). She is the fifth generation to live there. Carrie's brother and sister-in-law, Tyler and Megan, have a cattle operation there and she helps manage the farm ground. Her brother Tom also works for UNL as interim dean of CASNR. He and his wife Jen live in Lincoln.

In her spare time, Carrie enjoys working on the farm, gardening, and spending time with her four nieces and two nephews. She has a variety of pets, including two cats (Finn and Agnes), a Cowboy Corgi (Mini), a Border Collie (Dixie), and Quarter Horse Mare (Lady), and occasionally bottle calves and lambs.

Carrie said, "I am enjoying getting to know everyone at the NVDC and learning how I can support the important work all of you do each day. I love this new challenge and thank everyone for your warm welcome!"

Matt Hille standing in front of a plain background.

Dr. Matt Hille is a diagnostic pathologist at the NVDC and holds degrees from the University of Wyoming (MS), Iowa State University (DVM), and UNL (Ph.D). After graduating veterinary school, he practiced cow/calf and feedlot medicine in South Dakota before joining the NVDC in 2018, first as a resident trainee and Ph.D student, and then as a faculty member in 2022.

In addition to providing diagnostic service for the NVDC, Dr. Hille also serves as a livestock Extension Specialist for Nebraska Extension with an emphasis on beef cattle medicine and production systems. Dr. Hille’s primary research and diagnostic interests are in infectious disease and immunology of cattle.

Outside of work, Dr. Hille enjoys hunting big game and upland birds, fishing, attending Husker football and basketball games, and coaching youth football.

Employee pet spotlight

Maize is a two-year-old half German Shepherd, half Anatolian Shepherd with a personality as big as her heart. She has an endless love for other dogs, instantly lighting up whenever she meets a new four-legged friend. Water is another of her greatest joys. Like many shepherds, she has a watchful streak, staying cautious and suspicious around people unless they’re with dogs and then they are automatically declared safe. Loud noises, especially fireworks, can unsettle her, causing an instant retreat under the bed.

Despite her wariness with strangers, Maize is all heart when it comes to the people she loves. She greets her favorite humans with unreserved joy, bounding in with full enthusiasm, tail wagging, and energy that fills the room. Her blend of loyalty, playfulness, and protectiveness makes her a remarkable companion—equal parts spirited playmate and devoted guardian. 

With her unique mix of German and Anatolian Shepherd traits, Maize is both gentle and bold, a dog who brings a special kind of love and adventure to every day. She is histology manager Kristen Reynolds' companion.

Maize lies on a high shelf in barn. She looks happy and her tongue is out as if she's panting.